Entdecke, wie ultraschallgestützte Fillerbehandlungen Sicherheit und Präzision neu definieren – von der Risikominimierung bis zur optimalen Platzierung für natürlichere und länger anhaltende Ergebnisse.
Die Injektion von Fillern zur Volumenauffüllung oder Konturverbesserung gehört heute zu den beliebtesten minimalinvasiven Verfahren in der ästhetischen Medizin. Doch während Hyaluronsäure und Biostimulatoren wie Radiesse und HarmonyCa in der Lage sind, Gesichtszüge sanft zu modellieren und Zeichen der Hautalterung effektiv auszugleichen, birgt jede Injektion auch gewisse Risiken. Vor allem die versehentliche Injektion in ein Blutgefäss – eine sogenannte intravaskuläre Injektion – kann zu ernsthaften Komplikationen führen.
Hier setzt die ultraschallgesteuerte Technik neue Massstäbe in puncto Sicherheit und Ergebnisqualität.
Warum Ultraschall?
In den meisten Fällen erfolgt die Platzierung von Fillern „blind“, also allein basierend auf anatomischen Kenntnissen und der Erfahrung des Behandlers. Doch kein Gesicht gleicht dem anderen – individuelle Gefässverläufe, Fettkompartimente und Narbengewebe können die theoretische Anatomie in der Praxis stark verändern.
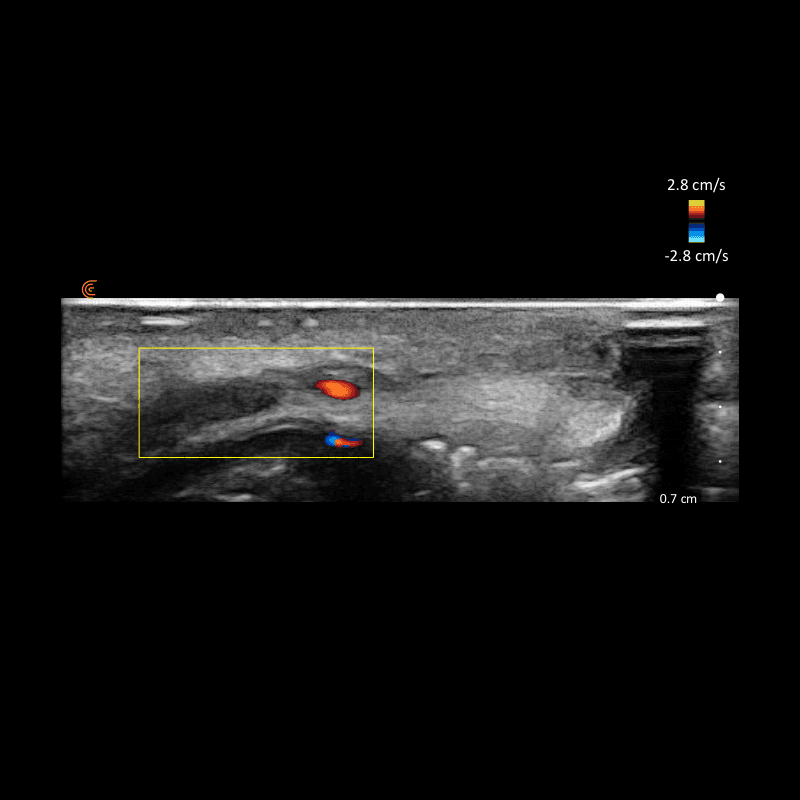
Durch den Einsatz von hochauflösendem Ultraschall ist es möglich, die jeweilige Gesichtsregion live zu „scannen“ und kritische Strukturen wie Arterien, Venen und bestehende Fillerdepots exakt zu identifizieren. So kann die Injektion nicht nur sicherer, sondern auch gezielter durchgeführt werden.

Weniger Risiko, bessere Ergebnisse
Ein grosser Vorteil der ultraschallgestützten Technik ist das deutlich reduzierte Risiko für intravaskuläre Injektionen – eine der schwerwiegendsten Komplikationen bei Fillerbehandlungen. Indem Blutgefässe sichtbar gemacht und konsequent umgangen werden, lassen sich Gefässverschlüsse, Nekrosen oder andere unerwünschte Reaktionen weitgehend vermeiden.
Das erhöht nicht nur die Sicherheit, sondern stärkt auch das Vertrauen der Patient:innen.
Gleichzeitig ermöglicht der Ultraschall eine präzise Platzierung des Fillers in der richtigen anatomischen Schicht – subkutan, supraperiostal oder intradermal. Dadurch lässt sich das gewünschte Ergebnis natürlicher und harmonischer erzielen, und auch die Haltbarkeit kann optimiert werden.
Das Risiko einer Fillermigration – der unerwünschten Verlagerung des Materials – wird durch die millimetergenaue Platzierung deutlich reduziert.

(Vorher-Nachher mit 1ml Hyaluronsäure)

(Vorher-Nachher mit 2ml Hyaluronsäure)
Auflösen mit System
Auch bei der Auflösung von Fillern mittels Hyaluronidase bietet der Ultraschall entscheidende Vorteile. Alte oder falsch platzierte Filler können gezielt dargestellt und aufgelöst werden, ohne umliegendes Gewebe unnötig zu beeinträchtigen.
Gerade bei Komplikationen oder unerwünschten Ergebnissen sorgt diese Technik für ein hohes Mass an Kontrolle und Präzision. Statt auf Verdacht zu handeln, kann der Behandler exakt sehen, wo die Hyaluronidase wirken muss – effizienter und gewebeschonender zugleich.
Fazit: Ein neues Qualitätsniveau für die Fillertherapie
Die Integration von Ultraschall in die Fillertherapie markiert einen bedeutenden Fortschritt in der ästhetischen Medizin. Es geht nicht nur um Technologie, sondern um ein neues Verständnis von Präzision, Individualisierung und Patientensicherheit.
In einer Zeit, in der Natürlichkeit, Risikominimierung und langfristige Ergebnisse immer wichtiger werden, setzt die bildgestützte Injektion neue Standards – zum Wohl der Patient:innen und zur Weiterentwicklung einer verantwortungsvollen Ästhetik.
So wird aus einer simplen Fillerinjektion ein durchdachter, planbarer Eingriff, bei dem nicht nur das Ergebnis, sondern auch der Weg dorthin höchsten Ansprüchen genügt.









